
Savez-vous ce que sont les papillomes et comment s'en débarrasser? Le papillome est un virus qui pendant longtemps n'est pas dangereux, mais s'il n'est pas traité, il peut provoquer des tumeurs cancéreuses.
Les papillomes peuvent apparaître chez chaque personne. De plus, leur nombre dépend de l'âge, c'est-à-dire que plus la personne est âgée, plus elle est nombreuse. Pour comprendre comment éliminer les papillomes du corps, vous devez d’abord comprendre pourquoi ils apparaissent généralement.
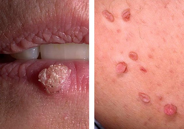
Papillome (grain de beauté suspendu) Est une petite tumeur bénigne qui se développe à partir de cellules de la peau. Ils ressemblent à une gouttelette de forme irrégulière. Les photos peuvent être trouvées sur Internet. Des taupes suspendues peuvent apparaître sur le visage, la région inguinale, le pénis, la tête, l'anus, les lèvres, la bouche et même la langue. Le virus peut également infecter un enfant. De plus, le professeur Neumyvakin affirme que ces virus se rencontrent chez les animaux, par exemple les chiens, ce qui explique pourquoi ils ont besoin d'un traitement immédiat. Sinon, cela pourrait nuire gravement à votre animal.
Que sont les papillomes et comment s'en débarrasser?
Un tel néoplasme désagréable provoque le papillomavirus. Elle touche non seulement les hommes mais aussi les femmes et ne se manifeste qu'au bout de quelques mois. Le virus affecte principalement les personnes ayant une faible immunité, ainsi que celles ayant une vie sexuelle promiscue et ayant de mauvaises habitudes. Particulièrement désagréable si des papillomes plats apparaissent dans les zones environnantes visibles.
Aujourd'hui, il est moins fréquent de rencontrer des formations liées à l'âge, plus souvent elles apparaissent chez les jeunes, et cela peut être dû à la prise de médicaments, à la grippe et à des problèmes d'estomac. En outre, une infection aussi désagréable peut être contractée lors de la visite de la piscine, de la plage et d'autres lieux où les personnes ne sont pas protégées par des vêtements. Vous pouvez voir à quoi ressemblent ces parasites sur la photo.
De plus, les formations provoquent des inconvénients et vous incitent à vous demander comment vous débarrasser des papillomes au cou, sous les aisselles ou les glandes mammaires, elles peuvent conduire au développement d'une tumeur cancéreuse. Parfois, ils entraînent des saignements, et lorsqu'ils sont situés dans la muqueuse de la gorge - une violation de la voix et de la respiration.
Le principal signe d'infection est une petite croissance sous forme de gouttelette sur la peau.
D'où viennent les papillomes?
A ce jour, l'apparition des papillomes a plusieurs causes:
- Contact avec une personne infectée. Pour transmettre la maladie, il suffit de toucher la peau du patient avec une zone ouverte. Avec tout dommage, la maladie peut pénétrer.
- Sexe non protégé. La cause d'infection la plus courante. Souvent, les virus sont transmis de cette manière, ce qui provoque l’apparition de verrues génitales, qui apparaissent sur le corps et les organes.
- Transmission de la mère à l'enfant. Dans ce cas, le virus est transmis pendant l'accouchement et avec une probabilité de cent pour cent. Cela s'applique aux papillomes qui apparaissent dans des lieux intimes. Par conséquent, l'élimination rapide des papillomes génitaux est très importante.
Comment puis-je me débarrasser à jamais du papillomavirus à la maison
Comme on le sait déjà, les papillomes peuvent apparaître n'importe où: intestins, pieds, aisselles, abdomen et peau.
Si vous ne souhaitez pas que des cicatrices apparaissent sur la peau en raison de l’exposition de matériel, vous pouvez supprimer le virus vous-même et avec les méthodes les plus simples. Il existe deux options de traitement à domicile - avec l'aide de médicaments en pharmacie et de remèdes populaires.
Avant de parler de médecine traditionnelle, vous devriez apprendre à vous débarrasser des médicaments à base de papillome. C'est quand même une approche plus professionnelle.
Produits de pharmacie

Crème Aladar
Il stimule la production d'interféron par l'organisme, ce qui accélère la maladie. L'exception est l'âge des enfants.

Pommade Oxolinique
Il résiste bien aux papillomes en raison d’effets antiviraux et antiherpétiques. Ceci est démontré par plusieurs critiques positives.

Papiderm
Ce remède contre le papillome contient l’antibiotique naturel Hydratis. Le médicament est utilisé à la fois en interne et en externe, ce qui entraîne l'arrêt du développement des papillomes.

Papilite Confort
Papilight Comfort - un remède contre les papillomes, qui peut être utilisé à la maison. À la suite d'un traitement par papillomes, il ne reste aucune cicatrice sur la peau et l'effet est perceptible dès le 3ème jour.

Pommade Stefalin
Il est fabriqué à partir de matières végétales. Les herbes sont récoltées dans les Carpates et utilisées pour fabriquer la pommade de base. En raison de la forte perméabilité, les composants pénètrent directement dans la racine du papillome.

Patchs papillaires Formu Clear
Le patch doit être collé à la zone à problèmes. Il remplit plusieurs fonctions à la fois: il neutralise le virus, empêche sa propagation et renforce le système immunitaire.

Panavir Gel
Ceci est un remède à base de plantes avec des bio-composants actifs.
Ils stimulent la production d'interféron et renforcent l'effet antiviral du médicament. Grâce à sa pénétration profonde, le gel lutte efficacement contre les parasites et empêche également leur apparition secondaire.

Apillom
Ce remède contre les papillomes fait référence au budget, mais ce n’est pas moins efficace. Les capsules doivent être utilisées en interne, mais peu sont destinées à un usage externe. Il en résulte un double don au virus, qui conduit à sa destruction rapide.

L'isoprinosine
Ce médicament est idéal pour les papillomes. Disponible sous forme de tablette. C'est un immunostimulant qui aide à faire face à un virus difficile à guérir.

Papillock
Papillock Papillock & Wart Remedy aide à nettoyer votre peau en 3-5 jours. Contrairement aux procédures d'élimination au laser, il n'y a pas d'effets secondaires. comme les vertiges et les nausées, puisque la composition est complètement naturelle.

Cryopharma
Un médicament congélateur pour les papillomes. Cet azote à basse température gèle instantanément les verrues. Les plus grandes formations doivent être congelées deux fois avec une pause de deux semaines.
Remèdes populaires pour se débarrasser rapidement des verrues pendantes
Il existe des recettes simples pour se débarrasser de l’infection à papillomavirus. Ils sont efficaces même pendant la grossesse et il est également totalement sans danger. Nous nous débarrassons donc des papillomes par des méthodes traditionnelles, si la pharmacie ne crée pas la confiance.

Vata
Vous pouvez mettre du coton sec sur le papillome et le sceller avec un pansement. Ceci est pratique si la croissance se situe sur les mains ou le doigt. Pour mettre un tel pansement, cela devrait prendre environ trois semaines. Changer de coton après le bain. Peu à peu, la formation s'assèche et tombe. Ce n'est pas le seul moyen, il y en a aussi beaucoup d'autres. En voici quelques uns.

Des oeufs
Efficace au tout début de la maladie. Prenez l'œuf, cassez-le et déposez le contenu. Lubrifiez le papillome avec les coquilles restantes.

Celandine
Pour éliminer les papillomes, broyer la chélidoine fraîche, presser le jus, l'évaporer jusqu'à épaississement et graisser quotidiennement les papillomes jusqu'à ce qu'ils soient durcis. Une zone malade de la peau doit être étalée trois ou quatre fois avec un intervalle de plusieurs minutes. Répétez la procédure 2-3 fois par jour. Avec cette thérapie, vous pouvez obtenir d'excellents résultats en peu de temps.

Pomme de terre
Dans la lutte contre les papillomes, le jus de pomme de terre aide beaucoup. Ce remède traditionnel inhibe le développement de divers types d’infections et les traite.Il est utilisé pour les tumeurs cancéreuses, les ulcères d'estomac, les adénomes, les maladies du foie et même le diabète. Il est préférable d’utiliser des pommes de terre rouges: rincer abondamment à la brosse et couper les yeux. Après cela, râpez-le sur une râpe fine et pressez la pâte obtenue à travers une étamine. Buvez deux fois par jour pendant une demi-tasse une demi-heure avant les repas. La durée du traitement est de deux mois.

Savon
Les papillomes peuvent être enlevés avec du savon à lessive. Pour ce faire, frottez-le pendant plusieurs jours et, lorsque la peau devient rouge, arrêtez la procédure. Après cela, après un moment, la taupe suspendue va se dessécher et tomber.

Miel et Celandine
Le miel peut oindre un point sensible et rincer le matin. Essorez les feuilles fraîches de chélidoine, diluez avec de la salive et frottez dans des papillomes pendant deux jours. Après traitement, collez-les avec un pansement. Le traitement devrait durer deux jours.

Fil
En plus des méthodes ci-dessus, l'éducation peut être éliminée à l'aide d'un fil. Les papillomes doivent être ligaturés avec du fil et marcher pendant plusieurs jours. Mais c'est une méthode très risquée.
En conclusion, je voudrais dire qu’il est possible de traiter les papillomes avec de l’iode, en utilisant de l’huile de ricin, de l’ail et d’autres méthodes. À propos, le traitement peut même être effectué par complot. La principale chose à faire pour prévenir la maladie est de mener une vie saine (zozh).


























Et la crème Lederazole, un remède cool, m'a vraiment aidée. Il s'est avéré être guéri à la maison rapidement et sans conséquences.
J'ai essayé de me débarrasser des papillomes avec des remèdes traditionnels: chélidoine, peroxyde d'hydrogène, iode, noués avec un fil, mais rien n'y faisait. Je suis passé aux crèmes et onguents. La crème de Lederazole a aidé. Après 2 semaines d'utilisation, les papillomes ont disparu.
Je veux rejoindre le commentateur précédent! lederozole a également utilisé crème - un excellent remède, je conseille à tous! semaine et pas de verrues !!